SÍNDROME DE DOWN O TRISOMÍA 21

 

1rrow41.gif

 

 

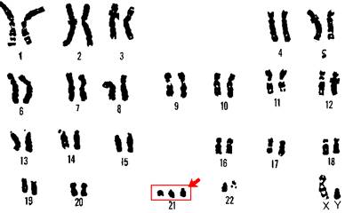
El ser humano tiene células con 46 cromosomas distribuidos en 23 pares. Un par determina el sexo del individuo y los otros 22 se numeran del 1 al 22 en función de su tamaño decreciente.

21_trisomy_-_Down_syndrome.png

Las personas con síndrome de Down tienen tres cromosomas en el par 21 en lugar de los dos, es decir,  el síndrome de Down es una alteración genética que se produce por la presencia de un cromosoma extra o parte de él y por eso este síndrome también se conoce como trisomía 21.

Sindrome-de-Down.jpg

El síndrome de Down no es una enfermedad, y esto es importante, lo que  produce en cada persona es muy variable, aunque tendrá algún grado de discapacidad intelectual y mostrará algunas características típicas de este síndrome.

Esto quiere decir que mostrarán características comunes pero luego cada individuo es singular en todos los sentidos, apariencia, personalidad y habilidades diferentes.

 

1rrow41.gif